IRON DEFICIENCY ANAEMIA, SERO NEGATIVE . RHEUMATOID ARTHRITIS ? WITH CHRONIC KIDNEY DISEASE ?
This is an online e log book to discuss our patient’s de- identified health data shared after taking his/her/guardian’s signed informed consent. Here we discuss our individual patient’s problems through series of inputs from available global online community of experts with an aim to solve those patient’s clinical problems with collective current best evidence based inputs. This e-log book reflects my patient centered online portfolio and your valuable inputs on the comments is welcome.”
50 years old male resident of nalgonda who is farmer came to the hospital with the complaints of
CHIEF COMPLAINTS :
C/o On and off of Joint pains in hips, knee, ankle, wrists, elbow, fingers, One joint at a time.
HOPI: patient was apparently a symptomatic four years back then he developed bilateral Knee joint pain (insidious in onset gradually progressive)On and off, went to rural community practitioner and given medicine, the patient have been taking pain management medication when he has joint pain.
Swelling was also present at the knee and ankle joint during pain. The patient was able to do his routine farming activities for two years.
Since two years the patient stopped doing farming work and used to stay at home and was able to take care of his own.
When patient has pain he used to take rest and on severe pain patient used to take medication given by rural community practitioner.
Pain was not completely relieved on taking medication but patient used to feel better.
The pain was aggravated since one week and the patient was unable to walk, bear weight , take care of himself and was admitted in our hospital, diagnosed with hyperurecemia and dimorphic anaemia.
In hands:
Pain initially starts in the wrists,swelling appears ( flexion occurs at metacarpal- phalanges joint )for 1 to 2 days and pain migrates to elbow (unable to flex completely, swelling +) for 2 days and then pain migrates to shoulder (unable to lift ,abduct the shoulder )and then other hand involves.
Pain is asymmetrical (when one hand is involved the other is not involved)
In Legs:
Pain initially get started in the ankle (swelling+, duration 1-2 days and pain migrate to Knee (unable to bear weight, walk with help of stick/support, swelling+duration 1-2 days )and then pain migrate to hip joint.
Pain is asymmetrical (when one leg is involved the other is not involved.)
Past illness :
H/O IRON DEFICIENCY ANEMIA WITH POLYARTHRITIS (SERO NEGATIVE )
No H/O DM,HTN,CVA,CAD,TB,ASTHAMA, EPILEPSY
Personal history:
1) Alcohol:Used to consume Toddy twice a week 6 to 7 years back. Now completely start consuming alcohol.
Appetite decreased
Bowl and bladder movement normal
Food:Mixed since 3-4 years back stopped consuming chicken and meat.
FAMILY HISTORY
Not significant
GENERAL EXAMINATION
Pt is C/C/C well oriented with time place and person. Thin built and malnourished
Vitals
Temperature : Afebrile
Pulse: 91
BP:100/60 mm/ hg
RR :26
SPO2 : 100%
GRBS:84 MG%
Pallor : present
Icterus : ABSENT
Clubbing :ABSENT
Cyanosis :absent
Lymphadenopathy: absent
Systemic examination:
CVS-S1,S2 heard
RS-BAE present, NVBS heard
P/A-soft,non-tender
CNS-No FND
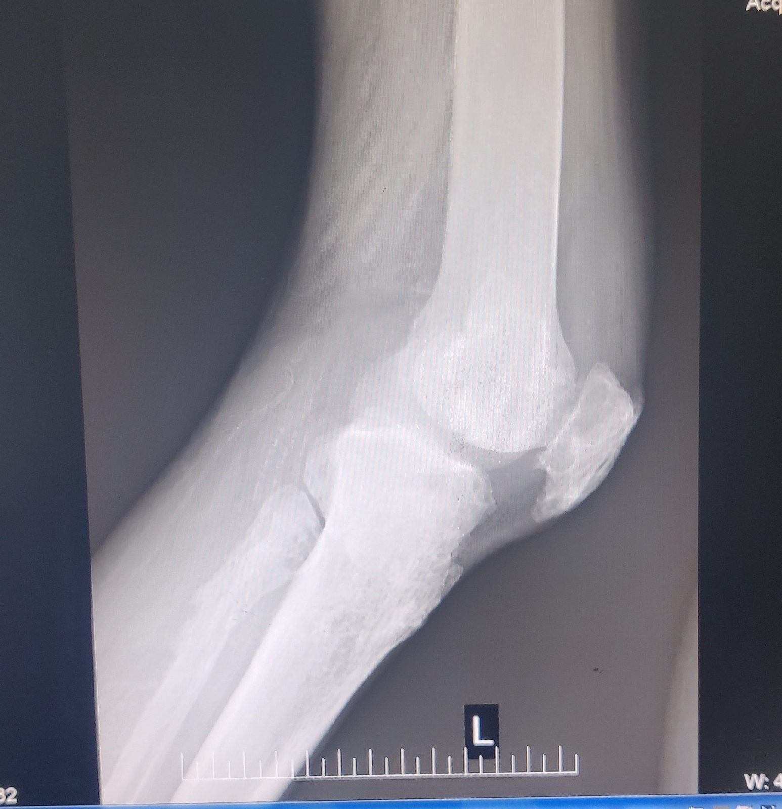
Investigations
PROVISIONAL DIAGNOSIS
ANEMIA SECONDARY TO IRON DEFICIENCY SERO NEGATIVE . RHEUMATOID ARTHRITIS ? WITH CHRONIC KIDNEY DISEASE ?
Rx
1) TAB OROFER XT PO/BD
1--------------------1
2) TAB LIMECE PO/BD
1--------------------1
3) TAB.REVIEW AFTER REPORTS
4) VITALS MONITORING 4TH HOURLY STRICT I/o monitoring
5) INTRACET 1/2 TAB PO/ QIP
1/2------1/2----1/2-----1/2










Comments
Post a Comment